
Tooth Extraction
Tooth Extraction Is a Last Resort That Is Sometimes Needed
Dr. Mormino will always strive to save your tooth through measures other than a tooth extraction. Our Staten Island dentistry office offers restorative procedures like dental fillings, periodontal care, and dental crowns, which we will consider long before tooth extraction. However, sometimes these solutions can't fix a complicated oral health concern. In this case, we'll likely recommend a tooth extraction.
When Is Tooth Extraction Necessary?
Dentists prefer to avoid tooth extraction, but if an oral health problem has progressed past treatment, tooth extraction is necessary to avoid further oral health issues.

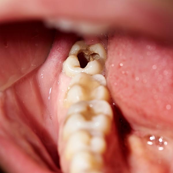
Severe Tooth Decay
Tooth decay that has progressed past fillings and crowns for treatment can benefit from a tooth extraction.
:quality(70)/https://einstein-assets.imgix.net/gums3-fit-crop.jpg)
Advanced Gum Disease
If a tooth is loose and shifting due to advanced gum disease, the tooth structure may be compromised, and you may need an extraction.

Dental Trauma
Severe dental trauma, particularly under the gums, may require a tooth extraction.

Severe Tooth Crowding
For those with small jaws that don't allow room for all 32 teeth, tooth extraction can provide comfort.
:quality(70)/https://einstein-assets.imgix.net/shutterstock_790203907-fit-crop.jpg)
Severe Dental Abscess
If the dental abscess has progressed past a root canal treatment, tooth extraction may be necessary to clear the infection.
:quality(70)/https://einstein-assets.imgix.net/shutterstock_1254136171-(1)-fit-crop.jpg)
Wisdom Teeth Procedure
Removing wisdom teeth before or as they arrive can help prevent impacted and shifting teeth.
:quality(70)/https://einstein-assets.imgix.net/shutterstock_539347525-fit-crop.jpg)
Baby Tooth Removal
If a patient still has an intact baby tooth while the permanent tooth emerges, extraction can provide additional space for the adult smile to grow.
If These Conditions Apply to You We Can Help
Patients turn to our Staten Island, New York office for dental questions and concerns.
You don't need to make an appointment with an oral surgeon. If you relate to any of the problems listed above, Dr. Mormino can assess your condition and see if you're a good candidate for tooth extraction. Call
(718) 876-9100
or contact us online to schedule an appointment.
"I no longer fear going to the dentist." 5-Star Reviews From New York Patients
I would recommend Dr. Mormino to anyone. Dr. Mormino wants you to look good and feel confident when all is done. He puts you at ease.. He walked me through every step. The staff is great. They make you feel comfortable. Please give Dr. Mormino a try.
View on GoogleBefore going to Dr. Mormino, I had always feared going to the dentist. My anxiety would kick in the day before any appointment. Since meeting Dr. Mormino and his staff, I no longer have fear going to the dentist...
View on GoogleIf We Can't Help We Can Refer You Out
/
Our dentistry office does not extract impacted teeth. However, it can be hard to self-diagnose if you have an impacted tooth. If you have oral health concerns, come to our practice for a consultation. If your tooth is impacted and needs an oral surgeon, we can refer you to the best in the Staten Island area.
The Gentle Process of Tooth Extraction
A prompt extraction can prevent extensive and costly oral health problems.
Consider Replacing the Extracted Tooth
A Closer Look at the Tooth Extraction Process
Worried About Your Oral Health?
Request a Consultation
If you have concerns about your oral health, our dental practice can help you find a solution. We spend time building the best treatment plan for moving forward before jumping into a procedure that may not be the best solution for your unique needs. We often receive feedback from past patients saying that our initial consultations are the most comprehensive dental examination they've ever received.
For comprehensive care from a committed team, contact or call our Staten Island office:
(718) 876-9100

Dr. Mormino is dedicated to providing a comfortable and pain-free dental experience to his patients.
"I've always been extremely terrified of the dentist,
until I met Dr. Mormino."
I've always been extremely terrified of the dentist, until I met Dr. Mormino. He is very patient, kind, caring and understanding. He made me feel so comfortable from my first visit. Stephanie, his receptionist is absolutely amazing, since I called to make an appointment, scheduling with her she put my mind at ease. The office is clean and sanitized. Everyone is extremely nice and professional. I highly recommend Dr. Mormino and his staff.
View on GoogleWhen I needed extensive dental work, Dr. Mormino had exactly what I was looking for. He's experienced, friendly, and very professional. His office staff has always been very helpful and accommodating in times of need. Dr. Mormino's office is equipped with the latest dental technology, including an onsite dental lab, which makes his dental office so unique. Any adjustments can be made right on site for you. Quality dental care, I love that!!
View on GoogleWhy Is It Important to Replace the Extracted Teeth?
A replacement tooth should always be applied post-extraction, unless the dentist removed your wisdom teeth or performed the extraction to avoid overcrowding. Your mouth will try to accommodate for the open tooth space, which can lead to more significant oral health problems like:
- Misalignment
- Tooth erosion
- Jaw pain
- Temporomandibular joint (TMJ) disorder
- Jaw atrophy
- Changes to your facial structure
Tooth Replacements Post-Extraction
After your tooth has been extracted, the dentist may recommend a replacement tooth in its place. These tooth replacement options can help you avoid dental complications caused by missing teeth.
Dental Bridge
Dental bridges typically replace 2 to 4 teeth in a row and can be supported by the adjacent natural teeth or a dental implant.
Dentures
If more than four teeth in a dental arch are removed, our dentist may recommend you get dentures. Dental implants are recommended to pair with partial and full dentures.
Dental Implant
Dental implants can help restore a single missing tooth with a crown or support a dental bridge or dentures for multiple missing teeth.
Thankful Reviews From Caring Staten Island Patients
THE BEST!! Dr. Mormino took the time to explain to me about what was going on with my teeth - he was very patience, gentle and informative - I highly recommend him as a dentist - and his staff was awesome
View on GoogleDr.Mormino is the best! He does not make you feel rushed at all. He takes his time with you and explains everything to you in the best way possible. The staff is very warm and welcoming, they truly are so kind!
View on Google
